近日,海南医科大学第一附属医院神经外科团队成功完成一例神经导航辅助下显微镜联合内镜脑干海绵状血管瘤切除术,凭借毫米级的精准操作,为一名15岁少年万幸(化名)完整切除了位于脑干的海绵状血管瘤。术后万幸恢复良好,即将重返校园。
少年突发异常,脑干惊现“炸弹”
15岁的万幸是海南某县一名中学生。去年底的一天,他在学校午休时突然感到右侧肢体和左侧面部麻木,触碰时有灼烧感,走路也不稳,身体平衡明显出现问题。起初并未在意,但症状逐渐加重,于是慕名来到我院神经医学中心就医。
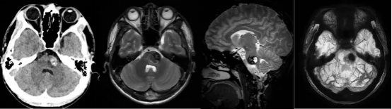
就医后,头颅CT和磁共振检查结果显示,他的脑干“桥脑左侧异常信号灶,考虑海绵状血管瘤且合并出血”。

术前影像
脑干是掌管呼吸、心跳、意识等关键功能的生命中枢,手术风险极高,稍有不慎便可能导致严重残疾甚至生命危险。此处的血管瘤虽非恶性,却如同埋在脑中的“不定时炸弹”,随时有再次出血的危险,可能危及生命。
多学科协作精准评估,量身定制手术方案
面对这一高风险手术,神经外科陈政纲主任及周建主任医师高度重视,立即启动多学科协作(MDT)模式,组织影像科、麻醉科、手术室等进行深入讨论评估。团队利用多模态影像技术及DTI(弥散张量成像)技术,清晰呈现了肿瘤与周围重要神经纤维束的毗邻关系。在此基础上,最终制定了“神经导航+显微镜联合内镜下经扩大乙状窦后入路” 的个体化精准手术方案。

多模态影像重建及DTI
“我们的目标是在完全切除病变的同时,最大限度保护脑干功能。神经导航就像为手术刀装上了实时GPS,确保每一步都精准无误。”周建主任医师解释道。
在“生命禁区”完成毫米级精细操作
2025年12月25日,在周建主任主刀,陈政纲主任等协助下,手术正式开始。术中,团队在神经导航精准引导和神经电生理全程护航下,选择最佳切入点,切开仅约6mm的通道,逐步深入脑干核心区域。在高倍显微镜与内镜的双重辅助下,手术团队犹如在“刀尖上舞蹈”,小心翼翼地分离、辨认,最终将海绵状血管瘤完整切除,周围重要的神经结构得到了妥善保护。

术中神经导航定位及3D显微镜下操作
术后快速康复,锦旗承载真挚谢意
术后,在神经外科医护团队的精心治疗与护理下,万幸恢复迅速。术后第一天即拔除气管插管转出监护室,未出现昏迷、肢体瘫痪、感染等情况,并予以针灸、康复等治疗。经过一周的康复,他已可下床行走,肢体麻木感明显减轻,平衡功能改善。
“我们去了不少地方咨询,都说手术风险太大,是海医一附院的专家给了孩子第二次生命!技术高超,对待孩子又特别耐心。”出院前,万幸的家人将一面写有 “医德高尚医术精, 妙手神刀除病痛” 的锦旗送到周建主任团队手中,质朴的话语和鲜红的锦旗,承载着全家人最深切的感激。

患者家属向周建主任团队赠送锦旗
深耕脑干病变,守护琼岛百姓健康
据周建主任介绍,脑干海绵状血管瘤手术是神经外科领域极高难度的手术之一,代表着医院神经外科的技术水平。我院神经外科近年来持续深耕脑干、颅底等复杂区域病变的微创精准治疗,已常规开展神经导航、术中电生理监测、神经内镜等先进技术,为多位复杂脑血管疾病患者成功“拆弹”,取得了良好的社会反响。
“每一次高难度手术的成功,都是团队协作、技术积累和勇于担当的结果。我们的目标不仅仅是切除病灶,更要让患者有质量地回归家庭、回归社会。”周建主任表示。海医一附院神经外科将继续提升疑难重症诊疗能力,依托省级医学中心平台,让海南百姓在家门口就能享受到国内先进的神经外科诊疗服务。