近日,海南医科大学第一附属医院(以下简称“海医一附院”)消化内科谭琰主任和蔡笃雄主任团队成功开展一例超声内镜(EUS)引导下的胰腺假性囊肿穿刺及双猪尾支架内引流术。手术通过人体自然腔道(口腔)完成,以“超级微创”的方式,为一名33岁的复杂病情患者解除了病痛。术后患者恢复良好,充分彰显了消化内镜技术微创的显著优势,为胰腺假性囊肿患者带来了新的治疗选择。
年轻患者遭遇急性胰腺炎后并发症,胰腺周围长出“水球”
33岁的海南乐东患者张女士,因左上腹疼痛,前往当地医院就诊。上腹部磁共振检查提示,她不仅患有急性胰腺炎,还并发了胰周积液与假性囊肿。由于张女士3个月前有急性胰腺炎病史,同时有2型糖尿病、多囊卵巢综合征,病情较为复杂,为寻求进一步治疗,她转诊至海医一附院。
入院后超声胃镜检查提示:张女士胰腺体尾部存在一大小约8.7cm的囊性灶,诊断为胰腺假性囊肿。
胰腺假性囊肿是AP最常见的并发症之一,并非真正的肿瘤,而是胰腺受损后,胰液、血液、坏死组织等积聚在胰腺周围,被周围组织包裹形成的局限性、非上皮性的囊性病变。
简单来说,就像胰腺“发炎”后,身体启动“自我保护”,用周围的组织形成一个“囊袋”,将炎症产生的“垃圾”(胰液、坏死组织等)包裹起来。它与真性囊肿的核心区别在于,囊壁没有上皮细胞,多由纤维组织和肉芽组织构成。
这类囊肿常发生在胰腺体尾部,患者可能出现左上腹疼痛、腹胀等症状,若囊肿较大或压迫周围器官,还可能引发恶心、呕吐、进食困难等问题。

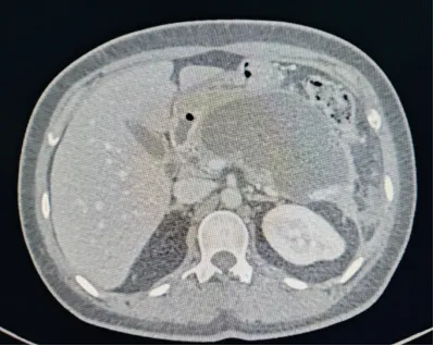
治疗前胰腺假性囊肿CT影像
“穿墙引流”:一根支架建立体内“泄洪道”
由于张女士的病情较为复杂,传统的外科开腹手术或经皮穿刺引流,对她而言创伤大、恢复慢,且并发症风险较高,谭琰主任和蔡笃雄主任团队经过综合评估,决定为其实施EUS引导下胰腺假性囊肿穿刺及双猪尾支架内引流术。
此次超声内镜引导胰腺假性囊肿穿刺内引流术中,消化内科团队将超声内镜经口送入患者胃内。在清晰的实时超声影像引导下,犹如拥有了“透视眼”,可以精确判断囊肿的位置、大小、囊壁厚度,以及穿刺路径上的血管、脏器等解剖结构,确保穿刺过程避开大血管等危险区域,实现“点对点”精准穿刺。随后,医生用一根细穿刺针穿过消化道壁和囊肿壁,建立一条微小通道,并沿此通道置入一根双猪尾塑料支架。

谭琰主任EUS引导穿刺-置入导丝


蔡笃雄主任使用针状刀切开-扩张窦道-植入支架
这根支架在囊肿和胃腔之间搭起一座“桥梁”,将胰腺假性囊肿囊液及坏死物质引流至消化道,随之排出体外。整个过程严格遵循“EUS引导穿刺-置入导丝-针状刀切开-扩张窦道-置入双猪尾塑料支架”的标准化流程,精准建立引流通道。整个手术无需在体表制造任何切口,实现了真正的“超级微创”。

置入双猪尾塑料支架

支架植入后可见胰腺假性囊肿囊液及坏死物质引流出
“超级微创”优势显著,患者恢复迅速
术后,张女士的腹痛症状迅速缓解。复查显示囊肿明显缩小,未出现任何并发症。由于创伤极小,她恢复得比较快,术后无需长期卧床,术后第二天即可进食及下地活动。
“如果采用传统的经皮穿刺引流术,引流管留置时间长,易发生感染、胰瘘,且囊肿复发率较高;如果是传统外科手术则需开腹或腹腔镜下进行囊肿开窗引流,手术创伤大、出血风险高,术后恢复慢。而超声内镜(EUS)引导下的胰腺假性囊肿穿刺及双猪尾支架内引流术较好解决了张女士的问题,术后恢复较快。”谭琰主任介绍,与传统术式相比,EUS引导下穿刺内引流术具有可视化、创伤小、恢复快、并发症少、引流高效且复发率低等显著优势。尤其适合像张女士这样合并基础疾病的患者。
此次手术的成功开展,标志着医院在胰腺疾病微创治疗领域迈出了重要一步。该技术主要适用于持续存在4周以上,直径>6cm,有症状的胰腺假性囊肿或包裹性坏死。
未来,海南医科大学第一附属医院消化内科团队将继续深化此类微创技术的应用,不断提升区域胰腺疾病的诊疗水平,为广大患者带来更优质、更便捷的医疗服务。