
近日,海南医科大学第一附属医院关节外科团队在贾丙申主任的带领下,成功为一名饱受左肘关节畸形与功能障碍困扰48年的患者实施了高难度左肘关节置换术。这一手术不仅解决了患者新发的骨折问题,更帮助其告别了跨越半个世纪的陈旧性顽疾。
半生隐痛:少年骨折成为中年困境
今年58岁的患者郭先生,其左肘关节的问题源于10岁那年,一次意外骨折。由于当时家庭经济困难,郭先生未能得到及时有效的治疗。这处被“搁置”的伤病,在随后的日子里逐渐发展为严重的关节畸形、脱位和活动障碍。郭先生的左臂功能几乎丧失,这给他的生活和工作带来了极大的不便与心理负担。
近日,郭先生再次不幸遭受外伤,让他本就脆弱的左肘关节再次发生骨折。这次,他下定决心,一定要彻底解决这个困扰了他大半生的“老问题”。于是,慕名找到我院关节外科贾丙申主任。就诊时,郭先生的左臂需要通过右手辅助支撑方可抬起,如果松开右手,左臂将会垂落。

术前左臂活动受限,无法自主抬起
高难挑战:矫正畸形重建“标准关节”
“患者的诉求非常明确,就是想通过一次手术,同时解决新伤与旧疾,但挑战是巨大的。”贾丙申主任介绍,由于郭先生儿童时期的骨折未愈合,导致其肘关节在畸形的状态下发育了四十多年,整个关节的解剖结构已经完全改变,骨骼形态、韧带附着点、神经血管走向都与正常肘关节大相径庭。“这就像要在一条因多年山体滑坡而彻底改道的河床上,重新修建一座标准的大桥。我们无法按照常规的关节置换手术路径来进行操作。”
面对这一复杂的病例,贾丙申主任带领科室团队进行了周密的术前规划,精确掌握郭先生肘关节的畸形程度和骨骼形态。经过多次深入的术前讨论,最终制定了个性化的手术方案,精准预判了术中可能遇到的骨骼缺损、软组织平衡及神经血管保护等一系列难题。

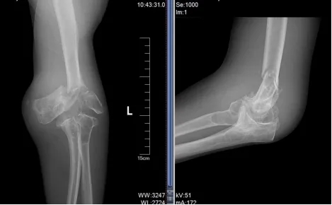
术前X线
匠心巧手:一次手术解决新伤旧疾
在完善术前准备后,手术如期进行。正如术前所预料,术中郭先生的肘关节内部结构紊乱,瘢痕组织增生严重。贾丙申主任凭借其丰富的临床经验和精湛的手术技巧,在郭先生扭曲的肘关节中小心翼翼地松解软组织、矫正畸形、重塑骨骼,并成功安装了人工肘关节假体。
整个手术过程顺利,手术部位周围重要的神经血管得到严格保护。术后,郭先生原本畸形的手臂恢复了正常的形态,左肘关节功能也恢复驯服,不仅疼痛消失,活动度也显著改善,对此他激动不已。

术后第三天:左臂可以自由抬起
此次复杂陈旧性畸形肘关节置换的成功开展,不仅解决了患者的骨折问题,更实现了其重建关节功能、改善生活质量的终极目标,彰显了我院关节外科在处理疑难复杂症关节问题方面的雄厚实力与勇于担当的执医精神。
“作为医生,我们的使命就是解决患者的病痛。无论病情多么复杂、病史多么漫长,只要有一线希望,我们都会尽百分百的努力。”贾丙申主任表示,本次手术的成功,为我们今后处理类似复杂关节畸形病例积累了宝贵的经验,也坚定了我们不断攀登技术高峰,用精湛医术服务更多患者的信心。