海医附院神经外科成功实施一例罕见巨大脑干肿瘤手术 ---延髓-颈髓异位支气管源性囊肿切除术

作者:日期: 2014-11-12浏览:

2014年10月30日,我科成功为一名24岁男性患者成功切除了巨大延髓-颈髓(异位支气管源性囊肿),这标志着我院神经外科手术又上了一个新的台阶。脑干及颈髓支气管囊肿极其罕见,发生率极低;此次手术成功,使我们对异位支气管源性囊肿的进一步认识;让我院综合诊断水平进一步提高。

患者是一名男性,符某某,24岁,海南人,因“枕颈部疼痛1月余,加重2天”入院我科。患者于入院前1月余前无明显诱因出现枕颈部疼痛,当时在杭州市某医院就诊诊断为“颈椎病”,给予按摩推拿及对症治疗未见好转。于入院前2天头痛加重伴呕吐、肢体乏力,患者返回老家就诊当地医院,经核磁共振(MRI)等检查发现延髓-颈髓占位性病变。为求进一步就诊,于2014年10月25日前来我院急诊科就诊,请我科会诊后以“延髓-颈髓占位”收住院。入院后患者病情进行性加重,在短期内逐渐出现头痛伴呕吐加重,并出出现流涎、吞咽困难、声音嘶哑、饮水呛咳、双侧瞳孔散大等颅神经功能障碍表现,甚至间断出现呼吸困难及血氧饱和度下降,必须及时手术切除肿瘤,才能挽救患者生命及功能。但此例患者肿瘤累及延髓、高位颈髓、挤压延髓及颈髓、后组颅神经,解剖结构复杂,肿瘤包绕基底动脉,有多条动脉穿行于肿瘤中央,手术操作空间狭小,所以手术切除难度高,风险极大,任何血管、神经组织损伤均会导致严重后果,稍有不慎,患者就可能一辈子高位瘫痪,甚至会造成心跳、呼吸骤停,危及生命。但若不尽早手术治疗,患者病情进一步发展将危及生命。经过全科认真的术前讨论、反复斟酌,最终考虑诊断为:延髓-颈髓表皮样囊肿可能性最大,决定采用右侧基础远外侧入路的方法为患者切除延髓-颈髓肿瘤。10月30日由杨堃教授亲自主刀,经过近4个多小时的手术,肿瘤较完整切除,手术顺利。术后患者神志清醒,对答切题,言语清晰。术后给予营养神经及对症支持治疗,病情逐渐好转。术后病理回报“支气管源性囊肿”,该病例是我省发现唯一例脑干异位支气管源性囊肿。目前患者头颈部疼痛已消失,吞咽功能恢复正常,流涎、吞咽困难、声音嘶哑等症状明显改善,饮水及进食呛咳症状明显减轻;四肢活动及感觉正常。目前病情恢复良好,已转入普通病房,继续功能进一步康复治疗阶段。

据悉,脑干及颈髓的支气管源性异位囊肿,临床上极其罕见,发病率极低,手术是唯一治疗手段。此例手术的成功充分显示了我院神经外科在科室杨堃主任的带领和指导下,全科医护人员协同一心,精诚合作,努力探索前沿技术,在神经外科在生命禁区的手术技术又迈上了一个新的台阶。

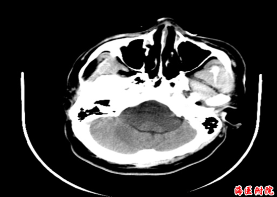
术前CT及CTA

术后CT