记海医附院急诊、介入等多学科合作成功救治18岁致死性消化道大出血1例
近日,我院金桂云主任领导的介入科团队、陈松副主任领导的急诊ICU团队、黄玉泉护士长领导的急诊ICU护理团队、急诊科院前及输血科等多学科一体化合作成功救治一名18岁十二指肠动脉破裂引起的致死性消化道大出血患者,患者术后恢复较好,目前生命体征平稳。
患者女性,18岁,因呕血2天伴解黑便1天由当地医院转我院急诊科就诊,患者病情凶险,进展迅速,转至我院时出现严重失血性休克、严重代谢性酸中毒,消化道出血量总计达10000ml,意识浅昏迷状态、血压最低测不出、血红蛋白最低仅28g/L。急诊科陈松副主任现场指导急诊ICU团队,黄玉泉护士长带领的护理团队全力配合,对患者进行积极抗休克、输血、止血、纠酸等治疗,在极量应用去甲肾上腺素,多巴胺、垂体后叶素等升压药后,患者病情稍稳定,急诊ICU科与介入科无缝连接,金桂云主任领导介入团队在患者吸入纯氧,升压药用至极量状态下勇于担当地对患者施行介入栓塞止血治疗,术中明确可见胃十二指肠动脉分支出血,予微导管精确超选该动脉后予以栓塞,术后患者出血停止。介入科与急诊ICU科再次无缝连接,患者紧急转至急诊ICU监护治疗,在急诊科院前、输血科的大力配合下,术后当天患者即意识恢复,目前患者生命体征已平稳。

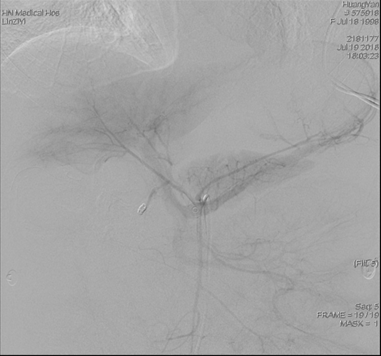
术中可见十二指肠球部明确出血
导管超选胃十二指肠动脉予明胶海绵颗粒及弹簧栓栓塞后出血停止


术后金桂云及陈松主任查房讨论治疗方案

通过这次急诊、介入等多学科一体化成功救治18岁致死性消化道大出血患者的案例,标志着我院急诊团队的合作及诊疗水平已达到国内领先水平,扩大了我院急危重症医学部的影响力及知名度。