说起癌症,都是令人“闻风丧胆”的存在。在不少人的印象里,好像一旦得了癌症,就等于是提前给生命宣判了“死刑”。但事实都是这样吗?本期主人公给出不一样的答案。
张大爷今年69岁,十年前于外院确诊原发性肝癌,大小约5cm,因拒绝外科开刀手术,张大爷慕名于海南医学院第一附属医院介入血管外科就诊,金桂云主任团队为其制定个体化介入微创方案,予肝癌消融术+肝动脉化疗栓塞术序贯治疗,期间定期复查,目前肿瘤控制良好,CT增强显示已无活性。张大爷为金桂云主任手术团队送来写有“十年肝癌抗战艰辛路,介入微创治疗除病痛”的锦旗,表达感激之情。
张大爷与金桂云主任手术团队合影
回顾张大爷的抗癌路,走的并不顺利,甚至有些坎坷及艰辛。早期肝脏内的大肿瘤经热消融治疗后,达到了完全灭活坏死,肝癌标志物甲胎蛋白也降至正常。但2021年4月复查时,肝脏胆囊周围出现新发肿瘤,甲胎蛋白一度上升至398.73ng/ml。金桂云主任分析,“肝癌一旦出现复发,治疗相当棘手,从增强CT看,肿瘤仍有血供,可行肝动脉化疗栓塞术(TACE术),该手术仅需从股动脉穿刺,把一根米粒粗细导管插入肝动脉,将化疗药物注入肿瘤同时栓塞肿瘤供血动脉即可完成治疗。”在充分的术前准备后,手术由邓堂副主任医师及廖勇住院医师完成,经过3次TACE术,张大爷恢复良好,2022年11月复查,复发的肝癌已无活性,甲胎蛋白降至正常,达到临床治愈效果。

2021年4月肝脏CT增强提示肿瘤明显增大,侵犯胆囊
2021年4月甲胎蛋白升高至398.73ng/ml

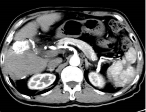
2022年11月CT增强提示肿瘤无活性
2021年11月甲胎蛋白降至正常
张大爷患肝癌已有十年,通过介入微创综合治疗,取得良好效果,目前肿瘤得到有效的控制。所以说得了肝癌并不等于给生命宣判“死
刑”,只要早发现,经过正规、系统的治疗,肿瘤有可能达到临床治愈,患者长久生存。
肝癌化疗栓塞术(TACE)的核心原理是通过给肝癌提供营养的血管直接注入药物到癌细胞(杀),然后堵塞营养血管(饿),在杀灭癌细胞的同时,让癌细胞失去营养,达到“杀死+饿死肿瘤”的效果。

TACE术示意图

TACE术后肿瘤坏死
肝癌微波消融术是指在CT或者彩超的引导下,用微波针穿刺进入肝脏肿瘤体内,针尖可产生60-150度的高温,癌细胞瞬间凝固坏死,简单来说,就是利用高温烧死肿瘤。
目前,海南医学院第一附属医院介入血管外科已形成完善的介入治疗体系,可开展恶性肿瘤的化疗栓塞术、微波消融术、碘125粒子植入术;门脉癌栓的碘125粒子支架植入术等一系列介入微创综合治疗手术。
金桂云,医学博士,三级教授,博士后合作导师,硕士研究生导师,主任医师,现任海南医学院第一附属医院介入血管外科主任;海南省高层次人才,海南省医学会临床介入分会主任委员,中华医学会急诊医学分会出血学组副组长,中国医师协会介入医师分会委员、中国抗癌协会肿瘤微创治疗专业委员会委员、中国临床肿瘤学会(CSCO)放射介入治疗专家委员会委员、中国女医师协会急诊医学专业委员会常务委员、国家肿瘤微创治疗产业技术创新战略联盟副主任委员等。
从事外周血管、综合介入工作近30年,多项技术水平位居全国前列,全省领先;擅长恶性肿瘤的介入微创治疗,各类急性大出血的介入栓塞治疗;主动脉瘤/夹层的腔内隔绝术;以及下肢静脉曲张的射频消融治疗。曾参与制定中国多部介入专家共识及指南,如《急性上消化道出血急诊诊治流程专家共识(2020版)》、《门静脉高压出血急救流程专家共识2022版》、《创伤性盆腔出血介入治疗专家共识2021版》、《介入血管再通术治疗玻尿酸注射致视力受损的专家共识2021版》、《中国急性肠系膜缺血诊断与治疗专家共识(2020版)》等。
出诊时间:周一全天
出诊科室:介入血管外科
邓堂,医学硕士,海南医学院第一附属医院介入血管外科副主任医师;南海介入论坛及海南省医学会临床介入分会委员兼秘书长;中国医药教育协会介入微创治疗青委会常务委员;国家肿瘤微创治疗产业技术创新战略联盟委员;海南省医师协会血管外科分会委员;海南省抗癌协会肿瘤介入专委会委员;《海南医学杂志》审稿专家,国内核心及SCI发表论文多篇,累计影响因子24分,一作最高影响因子 5.988分。
从事外周血管介入、综合介入10年,擅长:恶性肿瘤的介入微创治疗;下肢静脉曲张的射频消融及开放手术;各类出血性疾病的栓塞止血治疗;胸腹主动脉瘤、夹层及穿透性溃疡的腔内隔绝术;腹主动脉骑跨栓、急性肢体动脉栓塞切开取栓术;慢性肢体动脉硬化闭塞症、深静脉血栓的开通及血管成型术;
出诊时间:周四全天
出诊科室:介入血管外科