海南医学院附属医院肝胆外科成功实施一例肝中叶(Ⅴ、Ⅶ段)切除术 发布时间:2011-4-21 被阅览数: 461 次 朱峰锋 陈有科/文记者近日从海南医学院附属医院肝胆外科获悉,该科为一肿瘤
朱峰锋 陈有科/文
记者近日从海南医学院附属医院肝胆外科获悉,该科为一肿瘤患者实施肝中叶(Ⅴ、Ⅶ段)切除术。该例手术的成功实施,进一步推进和拓宽了精准肝切除术在传统复杂手术中的临床应用,标志着附属医院肝胆外科在肝脏肿瘤的诊断和治疗方面已经具备了雄厚的技术实力。
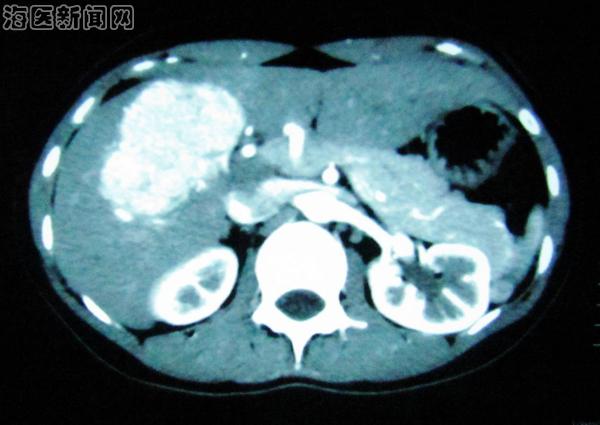
据肝胆外科主任贾长库博士介绍,肝中叶包括左内叶和右前叶,其脏面为动脉、门静脉、胆管、淋巴管及神经汇成的第一肝门,并临近诸管道分叉部;膈面为肝静脉汇入下腔静脉处的第二肝门;肝背侧借助于数目不等的肝短静脉与肝后下腔静脉段相邻,即第三肝门。该患者肿瘤位于肝中叶的Ⅴ、Ⅷ段,若行右半肝切除,手术相对简单,但切除的肝脏组织过多,术后发生肝功能衰竭的可能性加大;若行肿瘤的局部切除,切除范围又太小,万一是恶性肿瘤,则不符合切除原则,理想的切除范围是行Ⅴ、Ⅷ段切除,既保证了足够的肿瘤切除范围,又最大限度的保留了正常肝脏组织,但手术难度也随之加大。
贾长库博士带领该科外科团队紧紧围绕精准肝切除的先进理念,术前制定严密的手术方案,在没有超声吸引系统的条件下应用选择性肝血流阻断技术为该名患者实施了保留第Ⅳ段的肝中叶切除,手术过程顺利,术中出血少,患者术后恢复好。术后病理回报示:肝脏局灶性结节性增生。
据悉,肝中叶切除是指肝脏中央区的切除,切除过程涉及两个切面的肝脏切除,同时因涉及左右两侧需要保留肝脏脉管及胆道结构,大大的增加了手术的复杂性和难度,所以必须行解剖性肝切除才能达到既切除肿瘤又最大限度的减少损伤的目的。附属医院肝胆外科在肝胆肿瘤的治疗上重视解剖性的规则肝切除,运用合理的检查方法和手段及精细的围手术期管理,实现“治疗有效性、手术安全性和干预微创化”的理想目标。

术前CT

精准肝切除
|